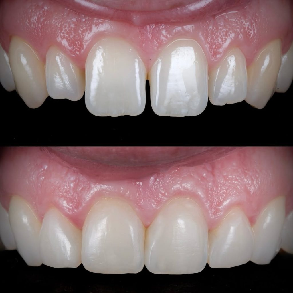
RESTORATİF TEDAVİLER

Restoratif tedaviler, dişlerin fonksiyonunu ve yapısal bütünlüğünü korumayı amaçlayan uygulamaları kapsar. Üsküplü Dental Clinic’te bu süreç, mevcut durumun doğru analiz edilmesi ve uzun vadeli planlama anlayışıyla ele alınır. Her tedavi, ağız içi dengeyi gözeten kontrollü bir yaklaşımla uygulanır.

İSTANBUL - BAYRAMPAŞA

2025 © ÜSKÜPLÜ DENTAL CLINIC TÜM HAKLARI SAKLIDIR.